鼠单克隆抗体是杂交瘤细胞产生的针对单一抗原决定簇的免疫球蛋白,其核心优势在于靶向精准性、高灵敏度及批次间高度均一性,Elabscience 依托成熟的杂交瘤技术平台,提供从抗原设计、动物免疫、细胞融合、阳性克隆筛选到大规模抗体生产的一站式鼠单克隆抗体定制服务。
在线咨询鼠单克隆抗体定制服务服务优势
多平台鉴定
涵盖ELISA、WB、IHC、IF、FACS等检测
杂交瘤无血清培养
可提供高特异性、低批间差异的抗体
细胞权属保障
稳转株100%归属客户,无附加费用
万例交付经验
累计交付10,000+小鼠单克隆抗体
技术路线
服务内容
周期:24-25周
抗原制备4-6周
客户提供抗原或者委托我司制备抗原


动物免疫8周
免疫前采血
免疫5只小鼠,5次免疫
抗血清效价检测
脾脏B细胞分离


细胞融合2-3周
B细胞和骨髓瘤细胞融合
HAT筛选和培养


亚克隆和建株3-4周
2轮亚克隆
稳定细胞株构建

抗体生产3周
腹水生产/无血清培养
抗体纯化
抗体检测


交付物
抗原
纯化抗体
稳转细胞株
项目报告

注:
1.可提供抗体亚型测定、杂交瘤测序、ELISA试剂盒开发等额外服务。
2.全程透明:客户可随时了解服务项目进展情况,并对成果拥有全部所有权。
案例展示
案例1:人CD105蛋白表达及抗体定制
靶点:CD105
反应性:人
应用性:IHC
稀释比:1:500
人扁桃体,CD105,400×
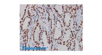
案例2:人TTF-1蛋白表达及抗体定制
靶点:TTF-1
反应性:人
应用性:IHC
稀释比:1:500
人甲状腺,TTF-1,400×
案例3:小鼠CD105蛋白表达及抗体定制
靶点:CD105
反应性:小鼠
应用性:FACS
稀释比:1:500
阴性细胞系NIH3T3
阳性细胞系Bend.3
案例4:人CD19蛋白表达及抗体定制
靶点:CD19
反应性:人
应用性:FCM
稀释比:1:500
人外周血,CD19
在线咨询鼠单克隆抗体定制服务
我们的技术支持会在收到需求表后第一时间与您联系,并根据您的需求提供专业的服务,您所填写的信息会被严格保密,敬请放心填写。