干细胞治疗整体解决方案:从实验室到临床的精准赋能
干细胞是一类具有自我更新和多向分化潜能的细胞,在特定条件下可以分化成多种功能细胞。干细胞疗法利用这一特性,通过对干细胞进行体外培养、定向诱导分化等处理,使其成为具有治疗特定疾病或修复受损组织能力的细胞产品。
产品优势:
ISO13485/GMP双体系认证,覆盖细胞采集→扩增→冻存→质检全流程(20+项质控指标)
细胞身份溯源系统:普诺赛® 国内首家细胞提供STR基因图谱/免疫荧光/PCR等全系鉴定,确保细胞准确
细胞/细胞培养/定向分化/质量检测全流程支持 | GMP级生体系验证 | 符合《中国药典》标准
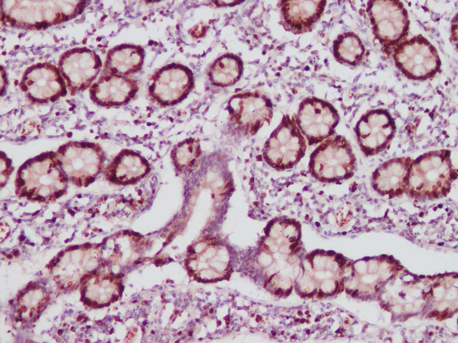
病理学与分子机制解析
通过基因组学、蛋白质组学等技术解析疾病病理特征
理论
疾病病理学:明确目标疾病(如心肌梗死、神经退行性疾病)的病理特征(坏死、纤维化、炎症浸润等)
干细胞归巢理论:研究干细胞如何定向迁移至损伤部位并整合到病变组织中 表观遗传学(DNA甲基化、组蛋白修饰对干细胞分化的调控) 信号通路网络(如Wnt/β-catenin、Notch、Hippo通路在组织修复中的作用)
工具
HE染色、免疫组织化学(IHC):用于观察病变组织的结构异常及特定蛋白(如炎症因子、凋亡标记物)的表达定位
电子显微镜:分析细胞超微结构损伤(如线粒体形态异常、内质网应激)
Western Blot、质谱技术:分析关键蛋白(如信号通路蛋白、表观修饰酶)的丰度及修饰状态
类器官/3D培养模型:模拟人体组织微环境,观察干细胞与病变组织的相互作用 qRT-PCR、RNA测序(RNA-seq):检测干细胞治疗前后疾病相关基因(如促炎因子、凋亡基因)的表达变化
单细胞测序(scRNA-seq):解析干细胞分化或疾病微环境中的细胞异质性
确定干细胞治疗的潜在靶点
体外疾病模型构建
建立细胞或类器官模型模拟疾病微环境,验证干细胞的修复机制(如脑卒中模型的神经元保护作用)
动物模型:基因敲除小鼠、疾病诱导模型(如心肌梗死大鼠)
患者来源的诱导多能干细胞(iPSCs):重编程患者细胞构建疾病特异性干细胞模型,用于靶点筛选
产品性能展示
重点产品推荐
| 产品分类 | 产品名称 | 产品货号 | 产品应用 |
|---|---|---|---|
| 凋亡检测 | Annexin V-FITC / PI细胞凋亡检测试剂盒 | GCQ0009 | 检测干细胞培养过程中细胞是否存在凋亡 |
| Annexin V-APC / 7-AAD细胞凋亡检测试剂盒 | GCQ0016 | ||
| 线粒体功能 | 线粒体膜电位检测试剂盒(JC-1) | GCQ0047 | 检测膜电位是否下降,例如:凋亡的启动与帕金森病中 SNCA 蛋白聚集相关 |
| ATP含量化学发光法测试盒 | GBQ126 | 检测ATP含量是否下降,例如阿尔茨海默病中ATP下降影响突触囊泡循环 | |
| 活性氧(ROS)荧光法测试盒(绿色) | GBQ119 | 检测ROS是否存在异常升高或者降低,例如亨廷顿病中 mROS 异常升高导致 HTT 蛋白异常折叠 | |
| 细胞线粒体呼吸链复合物I(NADH-辅酶Q还原酶)比色法测试盒 | GBQ241 | 检测线粒体活性是否存在异常下降,例如帕金森病患者黑质区线粒体复合体I活性下降 70% | |
| 细胞线粒体呼吸链复合物II比色法测试盒 | GBQ242 | ||
| 线粒体呼吸链复合物Ⅲ(辅酶Q-细胞色素c还原酶)比色法测试盒 | GBQ123 | ||
| 线粒体呼吸链复合物Ⅳ(细胞色素C氧化酶)比色法测试盒 | GBQ124 | ||
| 细胞线粒体呼吸链复合物Ⅴ(F0F1-ATP酶/ATP合成酶)比色法测试盒 | GBQ125 | ||
| 脂质代谢 | 人载脂蛋白B(ApoB)酶联免疫吸附测定试剂盒 | GEH6171 | 检测ApoB和AooA1的含量,例如ApoB/ApoA1比值>1.5提示动脉粥样硬化风险 |
| 乳酸脱氢酶(LDH)比色法测试盒 | GBQ086 | 检测LDH的含量的异常下降 |
干细胞类型选择
根据适应症选择合适来源:
根据适应症选择合适来源:
骨髓间充质干细胞
研究骨与软骨修复(骨折不愈合、骨质疏松症、关节炎等)和血液系统疾病(骨髓移植后造血微环境重建、再生障碍性贫血等)、免疫调节性疾病(移植物抗宿主病、自身免疫学疾病如风湿性关节/系统性红斑狼疮等)可选择骨髓间充质干细胞
肪间充质干细胞
研究软骨组织修复与再生(乳房重建面部凹陷修复、糖尿病足溃疡、烧伤等)和代谢性疾病(如胰岛素β细胞功能修复、糖尿病肾病、肥胖相关炎症调控)、抗纤维化治疗(肝纤维化、肺纤维化)、神经退行性疾病(阿尔兹海默症、帕金森病)可选择脂肪间充质干细胞
脐带间充质干细胞
研究免疫性疾病(如GVHD、系统性红斑狼疮)和神经系统损伤(脑卒中、脊髓损伤)全身性炎症(ARDS、脓毒症)可选择脐带间充质干细胞
胎盘间充质干细胞
研究母胎界面疾病(如子痫前期、复发性流产)和免疫器官移植耐受、糖尿病足溃疡可选择胎盘间充质干细胞
牙髓干细胞
研究牙周组织再生(压槽骨缺损修复)和神经退行性疾病(阿尔兹海默症)、颌面部骨再生可选择牙髓干细胞
滑膜间充质干细胞
研究软软骨缺损修复(骨关节炎)和肌腱损伤、运动系统再生可选择滑膜间充质干细胞
细胞质量标准化
扩增与分化
在GMP条件下进行体外扩增,并通过生长因子诱导定向分化(如成脂诱导分化、成骨诱导分化、成软骨诱导分化)
选择适合的培养基(如骨髓间充质干细胞完全培养基,脂肪间充质干细胞完全培养基,脐带间充质干细胞完全培养基,胎盘间充质干细胞完全培养基,牙髓干细胞完全培养基,滑膜间充质干细胞完全培养基)
确定分化因子(如生长因子、小分子化合物)
验证分化效率(通过标志物检测,如免疫荧光、qPCR)
干细胞冻存
干细胞在体外获得培养扩增后,通过冷冻(使用无血清程序冻存液)来实现长期保存,保持细胞活性
干细胞产品优势
出库经过流式及免疫荧光质检,细胞纯度达90%以上
间充质干细胞P11代纯度维持不变,纯度高(>90%),活性高(传代活率>98%,贴壁率>98%)
干细胞经过三系分化验证,干性维系好,分化能力强
无菌和支原体检测以及冻存质量均按照GMP生产标准执行
产品性能展示
人脐带间充质干细胞P3代流式检测细胞表面阳性指标CD73、CD90、CD105和CD44及阴性指标CD45、CD11b、CD19、CD34和HLA-DR结果展示
干细胞表型鉴定
在干细胞研究的早期阶段,表型鉴定是验证细胞身份、纯度及功能特性的核心步骤。以下是常用的表型鉴定方法及其原理,涵盖表面标志物检测、基因表达分析及功能验证
表面标志物检测
流式细胞术:用荧光标记的抗体标记干细胞表面抗原(如间充质干细胞MSCs的CD44+/CD73+/CD90+/CD105+, CD11b-/ CD19-/ CD34-/ CD45-/ HLA-DR-),通过流式细胞仪检测荧光信号。流式检测方法具有高通量、定量分析细胞群体纯度(如>95%符合目标表型)的优势
应用:
间充质干细胞(MSCs)
阳性:CD44、CD73、CD90、CD105(≥95%表达)
阴性:CD11b、CD19、CD34、CD45、HLA-DR(≤2%表达)
胚胎干细胞(ESCs)与诱导多能干细胞(iPSCs)
表面标志物:SSEA-3/4、TRA-1-60/81(人ESCs)
核内蛋白:OCT4、NANOG、SOX2
造血干细胞(HSCs)
CD34+、CD38-、CD133+
免疫荧光/免疫组化(IF/IHC):固定细胞后,用荧光或酶标记抗体检测表面或胞内标志物(如多能性标志物OCT4、SOX2),通过显色或荧光显微镜观察
应用:多能性验证:ESCs/iPSCs需表达OCT4、NANOG、SSEA-4
定位分析:如核内OCT4 vs 膜表面CD44
基因表达分析
实时定量PCR(qPCR):检测多能性或谱系特异性基因(如OCT4、NANOG、LIN28),通过Ct值定量表达水平
验证多能性基因表达(ESCs/iPSCs需高表达OCT4)
检测分化相关基因沉默(如ESCs分化后OCT4下调)
全转录组测序(RNA-seq):对干细胞进行高通量测序,分析基因表达谱,通过比对参考基因组,量化所有基因的表达水平
鉴定干细胞特异性基因模块(如多能性网络基因)
发现异常表达基因(如iPSCs重编程不完全导致的残留体细胞基因)
甲基化分析:通过亚硫酸盐处理DNA,检测多能性相关基因启动子甲基化状态(如OCT4、NANOG),未甲基化的启动子区允许基因表达(多能性基因在干细胞中通常低甲基化)
应用:验证iPSCs表观遗传重编程是否完全
定向诱导分化
通过微环境重构触发表观遗传重编程,激活谱系特异性转录因子网络,最终实现细胞命运决定。从而验证干细胞向特定谱系分化的能力。
物理诱导法
通过力学刺激(如流体剪切力)或三维培养环境
成骨:周期性牵张力激活 ERK1/2 通路
成软骨:微重力环境促进细胞聚集体形成
共培养体系
与靶组织细胞共培养,通过旁分泌作用诱导分化方向
成软骨分化常与软骨细胞共培养
诱导分化培养产品优势
耗时更短:完成成骨/成脂/成软骨分化耗时较短
效果更好:可显著提升细胞成骨/成脂/成软骨分化分化效果
性能稳定:经过长期测试验证,可稳定诱导
无污染:无细菌、真菌、支原体、噬菌体等污染,低内毒素
产品性能展示
人源间充质干细胞三系诱导分化效果展示
|
成脂诱导,油红O染色 |
成骨诱导,茜素红S染色 |
成软骨诱导,阿尔新蓝 |
|
|---|---|---|---|
| 人骨髓间充质干细胞 |
|
|
|
| 人脂肪间充质干细胞 |
|
|
|
| 人脐带间充质干细胞 |
|
|
|
干细胞功能评估
评估干细胞的增殖能力、分化潜能及分泌功能
增殖能力评估:
细胞计数与生长曲线:定期(如每24小时)用台盼蓝染色法计数活细胞,绘制生长曲线(对数期、平台期),死细胞被染成蓝色,活细胞保持透明。通过活细胞计数计算群体倍增时间(Population Doubling Time, PDT)
CCK-8法:向培养基中加入CCK-8试剂(含WST-8),孵育后检测450 nm吸光度,吸光度与活细胞数成正比
EdU标记:将EdU加入培养基,与细胞DNA结合,通过荧光标记的叠氮化物(Click-iT反应)显色,通过荧光显微镜或流式细胞术定量增殖细胞比例
克隆形成实验:低密度接种干细胞,培养7-14天后固定染色,计数形成的大于50个细胞的克隆,反应单个干细胞的自我更新能力和增殖潜力
分化潜能评估:
验证干细胞向特定谱系(如成骨、成脂、成软骨)分化的能力
定向诱导分化实验:化学因子模拟体内微环境,激活特定信号通路,通过成脂诱导分化、成骨诱导分化、成软骨诱导分化实验,诱导分化后进行组织特异性染色或标志物表达验证分化
免疫荧光/免疫组化:分化后细胞固定,用抗体标记特定蛋白(如成骨细胞标记物Osteocalcin、成脂细胞标记物PPARγ),抗体与靶蛋白特异性结合,荧光或显色信号反映分化程度
实时定量PCR(qPCR):提取RNA并反转录为cDNA,检测分化相关基因(如Runx2、Sox9、LPL)的表达量,通过Ct值定量基因表达水平,评估分化进程
单细胞RNA测序(scRNA-seq):对分化过程中的单个细胞进行转录组分析,揭示细胞异质性,追踪分化轨迹及关键调控基因
分泌功能评估
分析干细胞旁分泌活性(如细胞因子、外泌体、生长因子)
ELISA(酶联免疫吸附试验):收集细胞培养上清,用特异性抗体检测目标因子(如VEGF、IL-6、BDNF)的浓度,抗原-抗体结合后,酶催化底物显色,吸光度与因子浓度正相关
蛋白质组学(质谱分析):上清液经富集、酶解后,通过LC-MS/MS鉴定分泌蛋白,质谱检测肽段质量,匹配数据库分析分泌蛋白谱
外泌体分离与表征:外泌体(30-150 nm)携带蛋白质、miRNA等,参与细胞间通讯。通过分离外泌体,检测外泌体粒径和浓度,检测外泌体标志物(CD63、TSG101)来检测外泌体
条件培养基功能验证:用干细胞条件培养基处理靶细胞(如内皮细胞、神经元),检测其增殖、迁移或抗凋亡能力,间接验证分泌因子对靶细胞的调控作用(如划痕实验检测迁移修复)
干细胞功能验证
确保干细胞的质量、安全性和治疗潜能,为后续临床应用提供关键数据支持。
体外分化实验
通过特定诱导因子(如生长因子、化学小分子)刺激干细胞分化为目标细胞类型,利用免疫荧光或流式细胞术检测分化标志物(如 β-III 微管蛋白神经元标记)
体内分化实验
将干细胞移植至免疫缺陷动物(如裸鼠)体内,观察其分化为组织细胞的能力,例如通过组织切片染色验证心肌细胞特异性蛋白(如肌钙蛋白)
表面标志物检测
使用流式细胞术检测干细胞特异性表面蛋白(如 Oct4、Nanog),确认其未分化状态和多能性
克隆形成试验
通过单细胞培养评估干细胞自我更新能力,形成细胞克隆的数量反映增殖潜力
端粒酶活性检测
采用 TRAP 法测定端粒酶活性,高活性表明细胞具有持续分裂能力(如胚胎干细胞端粒酶活性高于分化细胞)
三系分化验证
定向诱导分化为外胚层(神经元)、中胚层(心肌细胞)和内胚层(肝细胞)细胞,通过形态学和标志物表达验证多能性
产品性能展示
重点产品推荐
干细胞安全性评估旨在预防致瘤风险、确保遗传稳定、控制免疫排斥、防止微生物污染、监控长期毒性及异常迁移,保障临床应用安全性
体内致瘤性实验
方法:将干细胞移植至免疫缺陷动物(如 NOD/SCID 小鼠)皮下或器官内,观察 6-12 个月是否形成畸胎瘤或实体瘤
原理:多能干细胞可能残留未分化细胞,通过组织病理学检测肿瘤标志物(如 Ki67、P53)评估致瘤风险
遗传稳定性检测
核型分析:G 显带技术检测染色体数目异常(如 21 三体)和结构畸变(如易位)
全基因组测序:NGS 技术筛查致癌基因(如 MYC)或抑癌基因(如 TP53)突变
细胞迁移追踪实验
活体成像:用荧光素酶标记干细胞,通过 IVIS 系统实时监测细胞在体内的迁移分布
器官特异性 PCR:提取各器官 DNA,检测干细胞特异性标记(如 Alu 序列)的归巢情况
微生物学安全检测
无菌试验:采用薄膜过滤法培养 14 天,检测细菌 / 真菌污染(如 TSB 培养基浑浊度)
内毒素检测:鲎试剂凝胶法测定内毒素含量(阈值 < 0.5 EU/mL)
表观遗传学分析
DNA 甲基化检测:焦磷酸测序评估印记基因(如 H19/IGF2)甲基化状态,异常甲基化可能导致代谢疾病
细胞凋亡监控
Annexin V/PI 双染:流式检测移植后细胞的凋亡比例,避免坏死细胞释放损伤相关分子(DAMPs)
产品性能展示
重点产品推荐
| 产品分类 | 产品名称 | 产品货号 | 产品应用 |
|---|---|---|---|
| 抗体 | Ki67 Polyclonal Antibody | GA004340L | IHC检测肿瘤标志物,评估致癌风险 |
| 流式抗体 | Elab Fluor® 488 Anti-Human HLA-A,B,C Antibody[W6/32] | GFH1130L | 对干细胞的免疫原性进行评估 |
| PE Anti-Human HLA-DP Antibody[B7/21] | GFH00566D | ||
| PE/Cyanine5 Anti-Human HLA-DQ Antibody[1a3] | GFH00421G | ||
| Elab Fluor® Violet 450 Anti-Human HLA-DR Antibody[L243] | GFH1111Q | ||
| EdU增殖 | E-Click EdU细胞增殖成像检测试剂盒(绿色,Elab Fluor® 488) | GCQ0065 | |
| E-Click EdU细胞增殖流式检测试剂盒(绿色,Elab Fluor® 488) | GCQ0062 | ||
| 代谢检测 | 谷丙转氨酶(ALT/GPT)比色法测试盒 | GBQ149 | 检测肝肾功能指标,评估器官毒性 |
| 谷草转氨酶(AST/GOT)比色法测试盒 | GBQ150 | ||
| 尿素(BUN)比色法测试盒(脲酶法) | GBQ136 | ||
| 肌酐(Cr)比色法测试盒(肌氨酸氧化酶法) | GBQ137 | ||
| 凋亡检测 | Annexin V-FITC / PI细胞凋亡检测试剂盒 | GCQ0009 | 检测干细胞培养过程中细胞是否存在凋亡 |
| Annexin V-APC / 7-AAD细胞凋亡检测试剂盒 | GCQ0016 |
工艺标准
参照 ISCT 指南(细胞活率 > 80%,群体倍增时间 < 36h),通过过程质控(如代谢组监测乳酸累积量 < 8 mM)确保终产品符合《药典》要求
细胞来源筛选
使用原代细胞(< 5 代)或经 HLA 配型的 iPSC,降低遗传突变风险(突变率 < 0.1%)
无血清培养
采用化学成分确定培养基,避免动物源成分引发免疫反应(如 α-Gal 抗原)
动态氧调控
低氧环境(5% O₂)维持干细胞干性,高氧诱导分化(Oct4 表达量差 3 倍)
自动化分选
磁珠分选(CD34 + 纯度 > 95%)或流式分选(侧群细胞占比 > 80%)确保细胞均一性
程序降温冻存
以 1℃/min 梯度降温,DMSO 冻存液保护细胞膜完整性(复苏存活率 > 90%)
三次传代检测
P3/P5/P7 代次进行支原体 PCR 检测(灵敏度 < 10 CFU)和内毒素筛查(< 0.25 EU/mL)
端粒酶监控
TRAP 法检测端粒酶活性(阈值 < 50% 永生化细胞),防止细胞恶性转化
冻存与运输
采用程序降温设备及合规冻存液,确保复苏后细胞活性≥80%
质控体系
参照 FDA CMC 指南(21 CFR 1271),通过 50 + 项关键质量属性(CQAs)控制,使产品符合《细胞治疗产品研究与评价技术指导原则》要求
细胞溯源管理
建立三级细胞库(原始 / 主 / 工作库),每级进行STR鉴定和核型分析(分辨率>400带),防止交叉污染(ISCT 要求 STR 匹配度≥80%)
终产品强制检测
无菌保障:14 天培养法 + BACTEC 系统双验证,灵敏度达 1CFU/10mL
致瘤性筛查:软琼脂克隆实验(<5 个 / 10^6 细胞)联合 TP53 突变检测(ddPCR 灵敏度 0.1%)
残留物清除:ELISA 检测牛血清白蛋白(<5ng/mL)及 DNA 酶残留(活性 < 0.01U/mL)
运输质控
温度记录仪全程监控(2-8℃波动 ±1℃)
干冰运输时 CO₂浓度监测(<2000ppm 防酸中毒)
产品性能展示
重点产品推荐
| 产品分类 | 产品名称 | 产品货号 | 产品应用 |
|---|---|---|---|
| 培养基 | 人间充质干细胞无血清培养基 | GCM-SC01 | 细胞培养 |
| 细胞冻存 | 通用血清型程序冻存液 | GPB180436 | 对细胞进行冻存保藏 |
| 无血清非程序冻存液 | GPB180438 | ||
| 支原体检测 | 支原体快速检测试剂盒(PCR法) | GPB180525 | 检测细胞是否被支原体污染 |
| 流式抗体 | FITC Anti-Human CD34 Antibody[4H11] | GFH1324C | 通过流式表面标志物鉴定,确保干细胞特性 |
| FITC Anti-Human CD45 Antibody[HI30] | GFH1137C | ||
| PE Anti-Human CD44 Antibody[HI44a] | GFH00335D | ||
| PE Anti-Human CD73 Antibody[AD2] | GFH1242D | ||
| PE Anti-Human CD90 Antibody[5E10] | GFH1167D | ||
| PE Anti-Human CD105 Antibody[SN6] | GFH1310D | ||
| 线粒体膜电位检测试剂盒(JC-1) | GCQ0047 | 评估细胞的线粒体功能 | |
| 凋亡检测 | Annexin V-FITC / PI细胞凋亡检测试剂盒 | GCQ0009 | 检测干细胞培养过程中细胞是否存在凋亡 |
| Annexin V-APC / 7-AAD细胞凋亡检测试剂盒 | GCQ0016 |